Les conséquences tragiques d’un gadget commun sur la vue d’un adolescent
Un simple gadget du quotidien a radicalement altéré la vision d'un jeune de 14 ans. Découvrez pourquoi cet objet courant peut représenter un risque sérieux pour la santé oculaire.
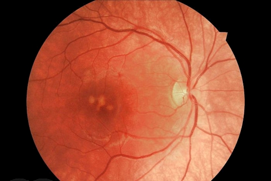
Les conséquences graves d’une erreur irréversible

Imaginez une soirée banale où l’envie de tester quelque chose de nouveau l’emporte sur la prudence. C’est exactement ce qui est arrivé à ce jeune garçon qui a dirigé un pointeur laser vers son œil, même pour « juste une seconde ». Le résultat est sans appel : 75 % de sa vision centrale est perdue de manière irréversible. Il est crucial de savoir que ces lasers peuvent provoquer des lésions graves à la rétine, en particulier au niveau de la macula, une zone essentielle pour la perception des détails.
Appréhender l’ampleur de la situation

La macula, qui est comparable au capteur d’un appareil photo, représente une composante clé de l’œil. En cas de dommages, aucune lentille, même de haute qualité, ne peut compenser la perte. Dans de tels cas, ni les lunettes ni les interventions chirurgicales ne peuvent restaurer la vision centrale. Ce type de blessure constitue une altération permanente qui impacte durablement la qualité de vie.
Les dangers des pointeurs laser sous-estimés
Il est fréquent que les parents soient attirés par le côté ludique et abordable des pointeurs laser. Cependant, leur puissance, même pour un usage domestique, est loin d’être anodine. Ces faisceaux lumineux concentrés peuvent causer des blessures graves en un laps de temps très court, surtout chez les enfants qui ne mesurent pas toujours les risques encourus.
Informations essentielles à retenir

- Puissance à risque : Les pointeurs laser peuvent produire une lumière extrêmement puissante, capable d’occasionner des dommages irréversibles à l’œil, même si ces lésions demeurent invisibles initialement.
- Absence de douleur immédiate : Contrairement à une coupure ou une brûlure, les atteintes à la rétine ne provoquent pas de douleur immédiate, rendant l’accident difficile à détecter sur-le-champ.
- Impact sur la vision centrale : La perte de la vision centrale, cruciale pour la lecture, l’écriture ou la conduite, est souvent irrémédiable.
Préserver nos enfants : des mesures simples à adopter
- Interdiction stricte pour les enfants
Considérez les pointeurs laser comme des outils et non comme des jouets. Rangez-les dans des endroits inaccessibles aux plus jeunes. - Opter pour des modèles réglementés
Choisissez des lasers conformes aux normes européennes, limités à une puissance de 1 mW, comme l’exige la réglementation en vigueur. - Sensibilisation des enfants
Expliquez à vos enfants que le faisceau lumineux d’un pointeur laser peut être aussi dangereux que de fixer directement le soleil.
En guise de conclusion : la prudence avant tout
L’histoire de ce jeune garçon de 14 ans met en lumière à quel point une simple négligence peut avoir des conséquences dramatiques. Partagez ces informations avec vos proches pour éviter de potentiels accidents. Car la santé visuelle, tout comme la sécurité, ne doit jamais être prise à la légère.